
Trouble coping with the unfamiliar as you age? Blame your white matter
If you are an aging baby boomer and you’ve noticed it’s a bit harder to drive to unfamiliar locations or to pick a new brand of olive oil at the supermarket, you can blame it on the white matter in your brain.
A brain-mapping study, published in the April 11 issue of The Journal of Neuroscience, has found that people’s ability to make decisions in novel situations decreases with age and is associated with a reduction in the integrity of two specific white-matter pathways that connect an area in the cerebral cortex called the medial prefrontal cortex with two other areas deeper in the brain.

Grey matter is the part of the brain that contains the bodies of the neurons while white matter contains the cable-like axons that carry signals from one part of the brain to another. In the past, most brain-imaging research has concentrated on the grey matter. Recently, however, neuroscientists have begun looking more closely at white matter. It has been linked to the brain’s processing speed and attention span, among other things, but this is the first study to link white matter to learning and decision making.
“The evidence that this decline in decision-making is associated with white-matter integrity suggests that there may be effective ways to intervene,” said Gregory R. Samanez-Larkin, the post-doctoral fellow in Vanderbilt’s psychology department and Institute of Imaging Science, who is the study’s first author. “Several studies have shown that white-matter connections can be strengthened by specific forms of cognitive training.”
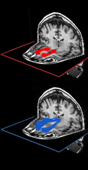
The critical white-matter connections that the experiment identified run from the thalamus, a highly connected relay center in the brain, to the medial prefrontal cortex, an area of the brain involved with decision making, and from the medial prefrontal cortex to the ventral striatum, which is associated with the emotional and motivational aspects of behavior.
The study involved 25 adults ranging from 21 to 85 years of age. They were asked to perform a monetary learning task. The task was designed to elicit what psychologists call probabilistic reward learning. “This is a common type of decision making that we use every day,” said Samanez-Larkin. “Whenever we try to choose the best alternative based on previous experience and are uncertain of the outcome, we are relying on probabilistic reward learning.”

On the same day, the participant’s brains were scanned using a relatively new MRI technique called diffusion tensor imaging (DTI). In the last 20 years, most brain imaging research has been done with fMRI, an imaging method that measures variations in the oxygen consumption in different areas of the grey matter, which correspond to variations in neuron activity levels. By contrast, DTI detects the water trapped by the myelin sheaths that surround the axons in white-matter regions and produces a signal related to the density, diameter and amount of myelination of the axons (a combination the researchers call ‘integrity’).
“The protocols for DTI have improved substantially,” said Samanez-Larkin, “In future studies we’d really like to combine fMRI and DTI to better characterize age differences in these neural circuits and examine how training might improve both structure and function.”
Samanez-Larkin performed this research while he was a graduate student at Stanford University. His co-authors are Brian Knutson, Robert Dougherty and Michael Perry from Stanford and Sara Levens from Carnegie Mellon University.
The research was funded by the Financial Industry Regulatory Authority Investor Education Foundation and the National Institute on Aging.