The Vanderbilt University School of Nursing (VUSN) received a $2.4 million grant from the National Institute for Health and National Institute of Dental and Craniofacial Research, to determine a clinically useful measurement tool for secondary lymphedema and fibrosis (LEF).
Principal investigator Jie Deng, Ph.D., R.N., OCN, Assistant Professor, VUSN, says patients with oropharyngeal cancer are often at high risk for developing LEF, which results in impaired functionality and decreased quality of life.
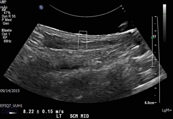
Over the course of the four-year study, they will accrue up to 100 patients with existing oropharyngeal cancer. Patients will undergo chemotherapy and radiation, and their results will be monitored every three months for a year using shear wave elastography (SWE) – a noninvasive ultrasound procedure that will identify stiffness in the fibrotic tissue.
“Our study is the first of its kind to assess the accuracy of a new type of sonographic evaluation for purposes of noninvasive evaluation of the skin and surrounding tissues, relative to side effects related to radiation therapy and chemotherapy of orofacial cancers,” said Arthur Fleischer, M.D., Professor of Radiology and Radiological Sciences and Ultrasound Imaging Medical Director. “SWE has been made possible by the development of both new transducer technology and software which can quantify changes in thickness and texture by calculating the velocities of the acoustic energy as it passes through soft tissue.”
Radiology faculty Joseph Aulino, M.D., along with Radiology Oncology faculty Kenneth Niermann, M.D., are two of seven co-investigators on the study. Lead sonographer Veena Mahadevappa, RDMS, is also involved.
To read more about the grant as previously published in the Reporter, click here.